Biología Humana / Genética
Crean un modelo de hígado humano personalizado que podría revolucionar los trasplantes y tratamientos
Construido como piezas de LEGO, combina tres tipos de células adultas y reproduce la disposición e interacciones observadas en el cuerpo humano, según los investigadores

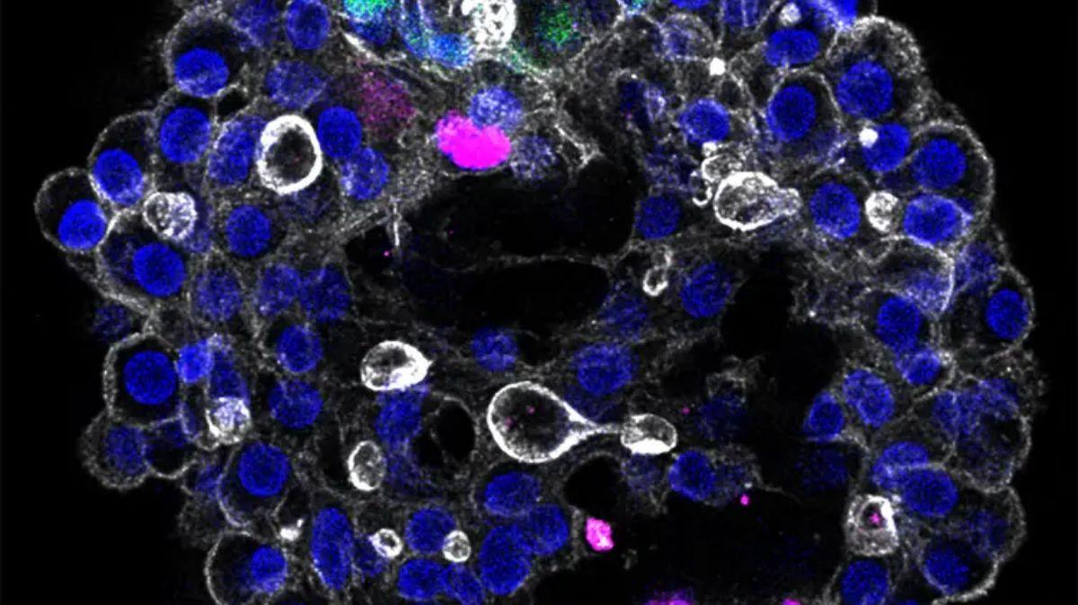
El modelo incluye los tres tipos de células clave del hígado: fibroblastos portales (magenta), colangiocitos (verde) y núcleos de hepatocitos (azul). / Créditos: Lei Yuan, Sagarika Dawka, Yohan Kim, Anke Liebert et al. / Nature (2025) / MPI-CBG.
Redacción T21
Un modelo de hígado humano que reproduce mejor las características de este órgano vital que los modelos previos, tanto animales como organoides, sienta las bases para nuevos tratamientos personalizados: contiene múltiples células que se combinan entre sí en un proceso similar al LEGO.
Un equipo internacional de investigadores liderado desde el Instituto Max Planck, en Alemania, ha desarrollado por primera vez un modelo tridimensional del hígado humano que reproduce la arquitectura y funciones clave del órgano: además, puede construirse con células procedentes del mismo paciente.
Los autores sostienen que este avance abre la puerta a ensayos personalizados, mejores pruebas de toxicidad farmacológica y nuevas vías para terapias regenerativas y de trasplante, de acuerdo a una nota de prensa. El estudio que describe el hallazgo se ha publicado en la revista Nature.
A diferencia de orgánulos previos que contenían una sola población celular, los nuevos modelos combinan tres tipos celulares adultos: fibroblastos portales, colangiocitos y núcleos de hepatocitos, que se autoorganizan en estructuras 3D capaces de reproducir la disposición y las interacciones que se observan en el cuerpo humano.
Por qué este avance podría transformar los trasplantes de hígado
El trabajo se basó en tejido humano donado por 28 pacientes: a partir de esas muestras, los investigadores pudieron expandir hepatocitos en cultivo, crear organoides y ensamblarlos como piezas de LEGO en modelos que mantienen rasgos específicos del paciente.
Estos nuevos modelos muestran funciones hepáticas relevantes, expresan perfiles genéticos similares al tejido nativo y exhiben actividad metabólica y de detoxificación. En experimentos realizados, estos organoides fueron capaces de rescatar las características genéticas de ratones con enfermedad hepática tras su trasplante, sugiriendo un potencial terapéutico real, aunque aún experimental.
Además, los investigadores han creado un "biobanco viviente" de organoides o modelos de hígado, que pueden preservarse por congelación y reactivarse para estudios posteriores. Uno de los usos más prometedores es la modelización de enfermedades hepáticas humanas, que resultan difíciles de reproducir en roedores.
Un hígado humano de laboratorio que promete cambiar los tratamientos hepáticos
El modelo permite inducir y estudiar rasgos de la fibrosis biliar y de estados inflamatorios en condiciones controladas, algo que facilitaría identificar nuevas terapias y probar fármacos en tejidos humanos, pero con la variabilidad genética real de los pacientes.
Referencia
Human assembloids recapitulate periportal liver tissue in vitro. Lei Yuan et al. Nature (2025). DOI:https://doi.org/10.1038/s41586-025-09884-1
Los autores subrayan que, al capturar características individuales, la plataforma podría acelerar la medicina personalizada, seleccionando tratamientos según la respuesta del propio tejido del enfermo. Sin embargo, aún existen desafíos a encarar para lograr pasar de una etapa experimental a pruebas clínicas concretas.
Si las limitaciones técnicas se superan, el nuevo modelo podría cambiar radicalmente la forma en que se diseñan terapias para enfermedades hepáticas, reducir la dependencia de modelos animales y, en el mejor de los escenarios, ofrecer soluciones de trasplante más seguras y adaptadas a cada paciente.
- El paraíso gastronómico en Cártama con menú ilimitado de brasa y castillos hinchables para los niños: 'Un plan redondo para toda la familia
- El nuevo horario de los bares de Málaga: ¿a qué hora cierran a partir de ahora?
- La Junta abre compuertas en La Viñuela y la presa del Guadalhorce
- Los vecinos de Huelin se oponen a la ampliación del horario de terrazas
- Málaga acapara ocho de los diez barrios más caros de Andalucía para alquilar vivienda: aquí está el ranking completo de precios y subidas
- Vecinos de Pedregalejo denuncian grietas en sus casas por obras en ocho pisos de lujo: 'La escalera empezó a doblarse y los peldaños, a partirse
- El secreto gastronómico mejor guardado de la Axarquía: así es el restaurante que lleva 80 años asando el mejor chivo al horno de Málaga
- El pueblo mágico de Málaga que debes visitar si te gustan las rutas al aire libre: Comares triunfa con sus senderos y paisajes naturales